Services

Dental Services Across San Francisco, Vallejo, and Fairfield

At Mission Dolores Dental Care (San Francisco), Tan Thai Dental Studios (Vallejo), and Paradise Valley Dental Studios (Fairfield), we offer a wide range of dental services to meet each patient’s unique needs. Led by Dr. Quincy Tan and Dr. Maggie Thai, our skilled team at our dentist in San Francisco, CA and DDS Vallejo locations combines advanced technology, gentle techniques, and a patient-first approach to provide quality dental care and a great experience for your healthiest smile.

Your smile is our highest priority. Our offices provide a welcoming, stress-free environment, with staff fluent in Spanish, Tagalog, Hindi, Japanese, Vietnamese, and more, ensuring clear communication and personalized care at every visit.

Enhance your smile with our cosmetic dentistry solutions designed to boost your confidence:

  • Teeth whitening for a brighter, more youthful smile
  • Porcelain veneers for natural-looking, durable transformations
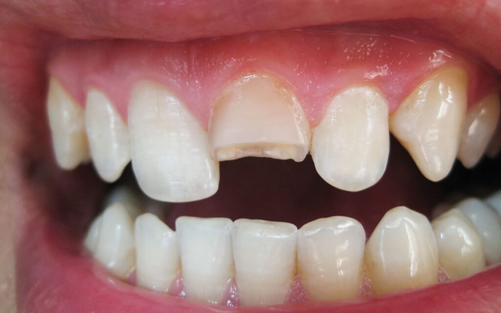
  • Dental bonding to repair chips and cracks
  • Custom smile makeovers tailored to your goals

Our cosmetic treatments combine artistry and science for beautiful, long-lasting results.

Dental emergencies require prompt, compassionate attention. We provide:

  • Same-day or next-day emergency appointments
  • Treatment for tooth pain, broken or knocked-out teeth
  • Relief for infections or oral trauma, including Fairfield oral surgery if needed

Our caring team ensures you receive timely, effective care when it matters most.

Straighten your smile discreetly and comfortably with our orthodontic options:

  • Clear aligners (Invisalign) for nearly invisible teeth straightening
  • Traditional and ceramic braces for customized treatment
  • Retainers and post-treatment care to maintain results

Our orthodontic care improves both aesthetics and dental health.

Healthy gums are the foundation of a healthy smile. Our periodontal care services include:

  • Comprehensive gum health evaluations
  • Scaling and root planing (deep cleanings) for gum disease and periodontal disease
  • Maintenance programs to protect against tooth loss and systemic health risks

Our gentle treatments help preserve your teeth and gums while supporting overall wellness.

Restore your smile’s function and health with expert restorative dentistry, including:

  • Tooth-colored fillings that blend seamlessly with natural teeth
  • Durable crowns and bridges
  • Dental implants to replace missing teeth with stable, lifelike restorations
  • Root canals to save infected teeth

We use the latest digital imaging and materials to ensure accurate, long-lasting results for all procedures, from basic restorations to oral and maxillofacial treatments.

Multilingual and Patient-Centered Care

Clear communication is essential for effective care. Our team at Mission Dolores Dental Care, Tan Thai Dental Studios, and Paradise Valley Dental Studios speaks multiple languages, ensuring every patient feels heard, understood, and supported—whether you are visiting a dentist in San Francisco, a Vallejo dentist, or a dentist in Fairfield, CA. Our dental office teams provide a wide range of dental treatments, including preventive, cosmetic, and restorative care, including dental implants, guided by skilled oral surgeons to deliver the highest standard of San Francisco dental care.

Languages Supported

English

Spanish

Mandarin

Cantonese

Vietnamese

Korean

Tagalog

Advanced Technology & Comfort

Across all three locations, our san fran dental, dentist in vallejo ca, and dentist in Fairfield, CA offices use advanced technology to provide optimal care:

 

  • Digital X-rays and 3D imaging for detailed diagnostics with minimal radiation
  • Laser dentistry for precise, minimally invasive treatments
  • Same-day crowns using CEREC technology
  • Sedation and anxiety management tools for stress-free visits

 

We combine technical excellence with a comfortable, patient-centered experience.

Schedule Your Appointment

Experience complete, compassionate dental treatments designed for your smile and lifestyle at our three convenient Bay Area dental office locations. Whether you need preventive care, cosmetic enhancement, restorative dentistry, or oral surgery, Dr. Tan and Dr. Thai are dedicated to helping you achieve lasting dental health and confidence.